Uzmandan uyarı: KOAH’ın büyük bölümü sigaraya bağlı; zatürreye karşı aşı ve yaşam koşulları önemli

Prof. Dr. Sait Karakurt, KOAH vakalarının %85'inin sigaraya bağlı olduğunu, zatürre riskine karşı sigarayı bırakma, aşılama ve yaşam koşullarının iyileştirilmesi gerektiğini vurguladı.

Yayın Tarihi: 12.04.2026 13:16
Güncelleme Tarihi: 12.04.2026 13:16

Uzmandan uyarı: KOAH’ın büyük bölümü sigaraya bağlı; zatürreye karşı aşı ve yaşam koşulları önemli

KOAH ve zatürre uyarısı: Prof. Dr. Sait Karakurt'ın değerlendirmesi

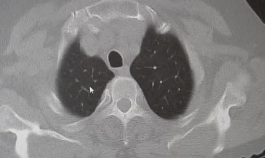
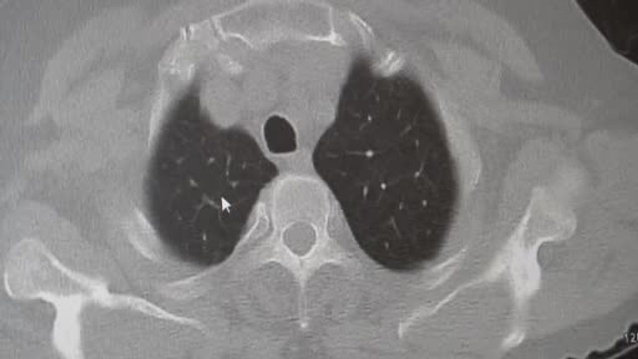
Prof. Dr. Sait Karakurt (Marmara Üniversitesi Pendik Eğitim ve Araştırma Hastanesi Göğüs Hastalıkları Kliniği) KOAH ve zatürre konusunda toplum için önem taşıyan uyarılarda bulundu. Karakurt, vakaların yaklaşık yüzde 85’inin sigara kullanımına bağlı olduğunu belirterek KOAH'ın önlenebilir bir hastalık olduğuna dikkat çekti.

KOAH'ın nedenleri ve önlenmesi

Karakurt, KOAH'ı zararlı maddelerin akciğeri tahrip etmesiyle ortaya çıkan bir hastalık olarak tanımladı. Buna ilişkin değerlendirmesinde, "KOAH önlenebilir bir rahatsızlıktır; sigaranın bırakılmasıyla birlikte tamamen ortadan kalkacaktır" ifadesini kullandı. Ayrıca hava kirliliği, iş yerlerinde kimyasal maddelere maruz kalma ve enfeksiyonların da KOAH nedenleri arasında yer aldığına vurgu yaptı.

Hastalığın toplumdaki sıklığına ilişkin olarak Karakurt, KOAH'ın toplumda yaklaşık %10 oranında gözlendiğini ve Dünya Sağlık Örgütü verilerine göre KOAH'ın dünyada insanları öldüren hastalıklar listesinde dördüncü sırada yer aldığını aktardı.

Zatürre: Belirtiler, ayırıcı tanı ve riskler

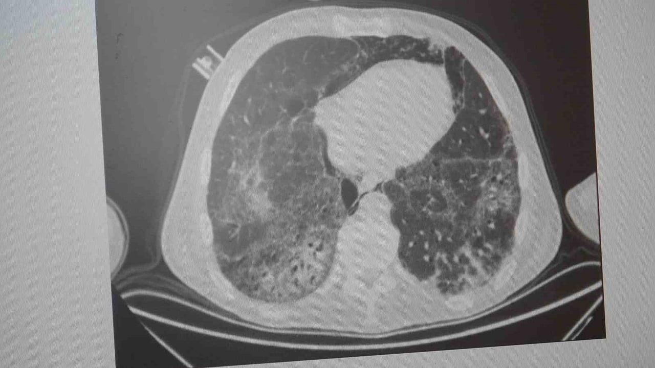
Prof. Dr. Karakurt, KOAH'lı hastaların akciğer dokusu tahrip olduğunda enfeksiyonlara daha yatkın hale geldiğini ve enfeksiyonların daha güç geçebildiğini belirtti: "Akciğer dokusunun tahrip olduğu her durumda hastaların enfeksiyona karşı eğilimi artar ve enfeksiyona yakalandıklarında bunun geçmesi güç olur."

Zatürrenin belirtileri arasında öksürük ve balgam artışı, yüksek ateş (örneğin 38,5°C üzeri), artan nefes darlığı, titreme ve bilinç bozukluğu sayılabilir. Karakurt, bronşit ile zatürrenin ayırt edilmesinin önemli olduğunu; bronşitin daha çok bronşları, zatürrenin ise alveolleri (hava keseciklerini) etkilediğini vurguladı. Bronşitten ölüm nadirken, zatürrenin yaklaşık %10 civarında bir ölüm oranı ile seyrettiğini ve bu oranın yaşla birlikte arttığını kaydetti.

Ayrım için ateşin yüksekliği, bilinç durumundaki bozulma, solunum sayısında artış ve morarma gibi bulguların varlığında hastaların en kısa sürede sağlık kuruluşuna başvurmasının önemine dikkat çekti.

Korunma: Aşı ve yaşam koşullarının düzeltilmesi

Karakurt, zatürrenin önlenebilir olduğunu belirterek "Zatürrenin aşısı var ve bunu mutlaka olmak gerekir" dedi. Zatürre riskinin özellikle 5 yaş altı çocuklarda ve 65 yaş üstü bireylerde arttığına dikkat çekti. Ayrıca felç, yutma güçlüğü, bazı kas hastalıkları gibi bilinç ve yutma ile ilgili sorunların zatürre sıklığını artırdığını ifade etti.

Hastalığın mevsimsel ve sosyoekonomik faktörlerle ilişkisine de değinen Karakurt, kış aylarında, okullar, kreşler, cezaevleri, kışlalar gibi kalabalık ve sıkışık yaşam alanlarında ile düşük ekonomik düzeyde zatürrenin daha sık görüldüğünü belirtti. Bu nedenle mümkün olduğunca yaşam koşullarının düzeltilmesi ve risk gruplarının aşılanmasının zatürrenin önlenmesinde kritik rol oynadığını vurguladı.

Sonuç olarak, Prof. Dr. Sait Karakurt KOAH ve zatürreye karşı en etkili müdahalelerin sigarayı bırakma, risk grubundaki kişilerin aşılanması, erken başvuru ve yaşam koşullarının iyileştirilmesi olduğunu belirtti.

MARMARA ÜNİVERSİTESİ PENDİK EĞİTİM VE ARAŞTIRMA HASTANESİ GÖĞÜS HASTALIKLARI KLİNİĞİ’NDEN PROF....

MARMARA ÜNİVERSİTESİ PENDİK EĞİTİM VE ARAŞTIRMA HASTANESİ GÖĞÜS HASTALIKLARI KLİNİĞİ’NDEN PROF. DR. SAİT KARAKURT, TOPLUMDA SIK GÖRÜLEN KRONİK OBSTRÜKTİF AKCİĞER HASTALIĞI (KOAH) VE ZATÜRRE HAKKINDA ÖNEMLİ UYARILARDA BULUNDU. KOAH'IN ÖLÜMCÜL HASTALIKLAR LİSTESİNDE ÜST SIRADA YER ALAN VE TOPLUMDA SIK GÖRÜLEN BİR RAHATSIZLIK OLDUĞUNU DİLE GETİREN KARAKURT, "VAKALARIN YAKLAŞIK YÜZDE 85’İ SİGARA KULLANIMINA BAĞLI" DEDİ.

MARMARA ÜNİVERSİTESİ PENDİK EĞİTİM VE ARAŞTIRMA HASTANESİ GÖĞÜS HASTALIKLARI KLİNİĞİ’NDEN PROF....

Yazar
EDİTÖR

Ali Yıldırım

Ben Ali Yıldırım, 31 yaşındayım, İstanbul. aksiyon.com.tr Gündem ekibinin gece editörüyüm. Siz uyurken ben gelen haber akışını yönetir, manşetleri belirlerim. Stres altında çalışmaya alışkınım ama ekibi ayakta tutan espriler de benden çıkar.