DOLAR
43,02 0%
EURO
50,44 0%
ALTIN
5.984,94 0%
BITCOIN
3.922.502,04 -0,93%

Prof. Dr. Şevket Özkaya: Metamfetamin ve kokain gençler arasında tehlike oluşturuyor

Prof. Dr. Şevket Özkaya, metamfetamin ve kokainin çocuk ve gençlerde ciddi sağlık sorunları ve ölümlere yol açtığını vurguladı.

Yayın Tarihi: 03.01.2026 12:18
Güncelleme Tarihi: 03.01.2026 12:23

Prof. Dr. Şevket Özkaya: Metamfetamin ve kokain gençler arasında tehlike oluşturuyor

Prof. Dr. Şevket Özkaya: Metamfetamin ve kokain gençler arasında tehlike oluşturuyor

Uzman uyarısı: Sentetik ve uyarıcı maddelerin gençlerde yarattığı sağlık riskleri

Göğüs Hastalıkları Uzm. Prof. Dr. Şevket Özkaya, çocuk ve gençler arasında giderek artan bağımlılıklar olarak metamfetamin ve kokain üzerinde durdu. Özkaya, her iki maddenin de ciddi sağlık sorunlarına ve ölümlere yol açtığını belirtti.

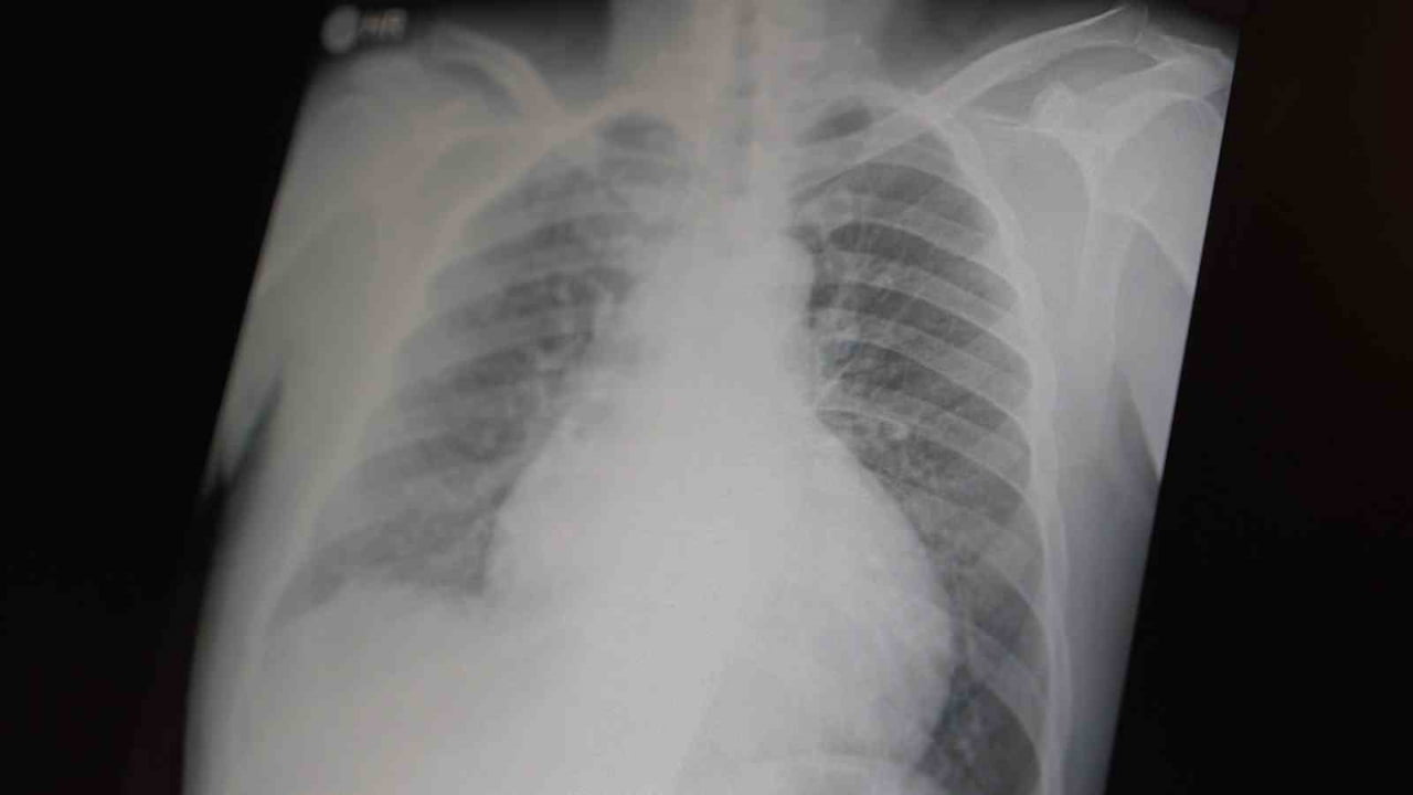
Özkaya, sözlerini şöyle sürdürdü: "Tüm dünyada çocukları ve gençleri etkileyen iki önemli bağımlılıktan bahsetmek istiyorum. Bunlar metamfetamin ve kokain bağımlılığıdır. Metamfetamin en ölümcül, en çok bağımlılık yapan, okul çağında en kolay ulaşılabilen bir sentetik uyuşturucudur. Kullanıma bağlı ciddi akciğer ve karaciğer sorunları ortaya çıkıyor. Çok küçük dozlarda bile anında bağımlılık yapabiliyor ve tedaviyle bırakılması çok zor bir bağımlılıktır".

Gençler arasında ölümcül etkileri olan diğer bir maddenin de kokain olduğunu vurgulayan Özkaya, "Kokain, gençler arasında ölüme neden olan uyuşturucu maddelerden birisidir. Toplumda aile kontrolü dışında kalan gençler bu maddelere çok kolay yöneliyor" dedi.

Uzman ayrıca, her iki uyuşturucunun beyin hasarı oluşturduğunu ve nöro sinir hücrelerini harap ederek solunum ve kalbin durmasına sebep olduğunu ifade etti. Özkaya, "Metamfetamin tüm dünyada bir sorun olmanın ötesinde, ülkemizde de gençlerimizi etkileyen toplumsal bir sorun olarak görülmelidir" diye ekledi.

Özkaya'nın açıklamaları, metamfetamin ve kokainin genç nüfus üzerindeki etkileri konusunda uyarı niteliğinde olup; aile denetimi ve toplum farkındalığına işaret ediyor.

GÖĞÜS HASTALIKLARI UZM. PROF. DR. ŞEVKET ÖZKAYA, TÜM DÜNYADA ÇOCUK VE GENÇLERİ ETKİLEYEN İKİ...

GÖĞÜS HASTALIKLARI UZM. PROF. DR. ŞEVKET ÖZKAYA, TÜM DÜNYADA ÇOCUK VE GENÇLERİ ETKİLEYEN İKİ ÖNEMLİ BAĞIMLILIĞIN METAMFETAMİN VE KOKAİN OLDUĞUNU BELİRTEREK, HER İKİ UYUŞTURUCUNUN CİDDİ SAĞLIK SORUNLARINA VE ÖLÜMLERE YOL AÇTIĞINI AÇIKLADI.

GÖĞÜS HASTALIKLARI UZM. PROF. DR. ŞEVKET ÖZKAYA, TÜM DÜNYADA ÇOCUK VE GENÇLERİ ETKİLEYEN İKİ...

Yazar
EDİTÖR

Zeynep Kaya

Merhaba, ben Zeynep Kaya. 25 yaşındayım, İzmir'den çalışıyorum. aksiyon.com.tr Gündem kategorisinde veri gazeteciliği yapıyorum. Rakamlar benim işim. Anketlerin, istatistiklerin dilini halkın anlayacağı şekilde haberleştiriyorum. Genelde sessiz ama çok dikkatli bir yapıya sahibim.