Prof. Dr. Nevzat Karabulut: Kalpteki gizli delikler paradoks emboliye yol açabiliyor

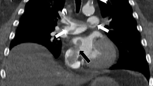
Prof. Dr. Nevzat Karabulut’un Radiology’de yayımlanan çalışması, kalpteki gizli deliklerin pıhtının sağdan sola geçerek yaşamı tehdit eden paradoks emboliye neden olabileceğini gösterdi.

Prof. Dr. Nevzat Karabulut’tan kalpteki gizli deliklerin paradoks emboli riski üzerine çalışmasıÇalışmanın özeti ve yayımlandığı mecraRadyoloji Uzmanı Prof. Dr. Nevzat Karabulut, Özel Denizli Tekden Hastanesi’nde görev yaptığı dönemdeki deneyimini de taşıyan araştırmasında, kalpteki gizli deliklerin hayatı tehdit eden paradoks emboliye…
Sonraki Haber