Prof. Dr. Nevzat Karabulut: Kalpteki gizli delikler paradoks emboliye yol açabiliyor

Prof. Dr. Nevzat Karabulut’un Radiology’de yayımlanan çalışması, kalpteki gizli deliklerin pıhtının sağdan sola geçerek yaşamı tehdit eden paradoks emboliye neden olabileceğini gösterdi.

Yayın Tarihi: 07.01.2026 11:19
Güncelleme Tarihi: 07.01.2026 11:19

Prof. Dr. Nevzat Karabulut: Kalpteki gizli delikler paradoks emboliye yol açabiliyor

Prof. Dr. Nevzat Karabulut’tan kalpteki gizli deliklerin paradoks emboli riski üzerine çalışması

Çalışmanın özeti ve yayımlandığı mecra

Radyoloji Uzmanı Prof. Dr. Nevzat Karabulut, Özel Denizli Tekden Hastanesi’nde görev yaptığı dönemdeki deneyimini de taşıyan araştırmasında, kalpteki gizli deliklerin hayatı tehdit eden paradoks emboliye neden olabileceğini ortaya koydu. Çalışma, dünyanın önde gelen tıp dergilerinden Radiology'nin 2025 Kasım sayısında "Paradoxical Embolism with Clot-in-Transit in Atrial Septal Defect" başlığıyla yayımlandı.

Olgu ve görüntüleme bulguları

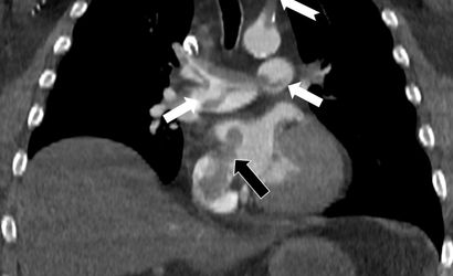
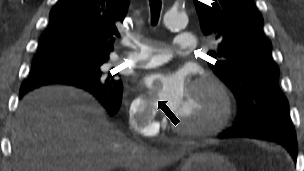
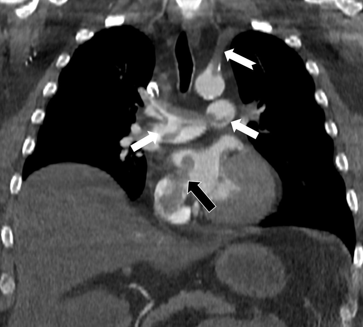
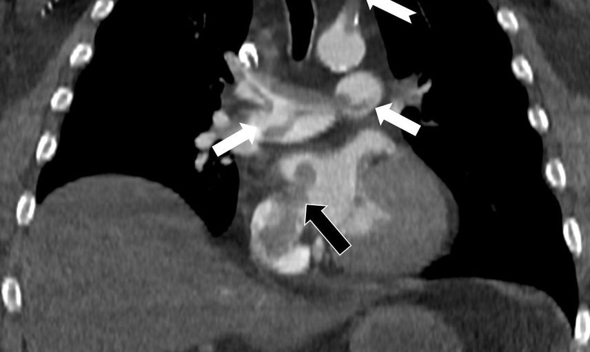
Çalışmada sunulan olguda, 60 yaşındaki bir hasta, penis ameliyatından 5 gün sonra ani göğüs ağrısı, nefes darlığı ve kol uyuşması şikâyetleriyle hastaneye başvurdu. Yapılan bilgisayarlı tomografi anjiyografisi incelemesi, toplar damarlardan kaynaklanan pıhtının akciğer damarlarını tıkadığını gösterdi. Aynı zamanda görüntüleme, pıhtının kalpte daha önce fark edilmemiş bir delikten (atriyal septal defekt) geçerek sağdan sola yönelip ana atardamara ulaşması ve sol kol damarını tıkaması bulgusunu ortaya koydu.

Değerlendirme ve klinik çıkarımlar

Prof. Dr. Karabulut’un çalışması, bacak damarlarından kaynaklanan pıhtıların yalnızca akciğer embolisine yol açmakla kalmayıp; kalp deliği varlığında ana atardamar yolu aracılığıyla beyin, kol ve bacak gibi bölgelere geçerek ani damar tıkanmasına (paradoks emboli) neden olabileceğini vurguluyor. Çalışmada, nedeni bilinmeyen pıhtı atmalarında kalpteki gizli deliklerin mutlaka araştırılması gerektiği belirtildi.

Görüntüleme yöntemlerinin rolü

Makale, ekokardiyografi ve bilgisayarlı tomografi tetkiklerinin erken ve doğru tanı koymada hayat kurtarıcı rol oynadığını işaret ediyor; çalışmada bu görüntüleme yöntemlerinin birlikte kullanılmasının kritik olduğu vurgulanıyor.

ÖZEL DENİZLİ TEKDEN HASTANESİ’NDE GÖREV YAPTIĞI DÖNEMDE DE BAŞARILI ÇALIŞMALARA İMZA ATAN...

ÖZEL DENİZLİ TEKDEN HASTANESİ’NDE GÖREV YAPTIĞI DÖNEMDE DE BAŞARILI ÇALIŞMALARA İMZA ATAN RADYOLOJİ UZMANI PROF. DR. NEVZAT KARABULUT, KALPTEKİ GİZLİ DELİKLERİN HAYATI TEHDİT EDEN PARADOKS EMBOLİYE NEDEN OLABİLDİĞİNİ ORTAYA KOYDU.

ÖZEL DENİZLİ TEKDEN HASTANESİ’NDE GÖREV YAPTIĞI DÖNEMDE DE BAŞARILI ÇALIŞMALARA İMZA ATAN...

Yazar
EDİTÖR

Zeynep Kaya

Merhaba, ben Zeynep Kaya. 25 yaşındayım, İzmir'den çalışıyorum. aksiyon.com.tr Gündem kategorisinde veri gazeteciliği yapıyorum. Rakamlar benim işim. Anketlerin, istatistiklerin dilini halkın anlayacağı şekilde haberleştiriyorum. Genelde sessiz ama çok dikkatli bir yapıya sahibim.