DOLAR
42,69 -0,01%
EURO
50,14 -0,04%
ALTIN
5.933,78 -0,61%
BITCOIN
3.821.575,39 -0,97%

Karında sıvı birikmesi, hayatınızı tehlikeye atabilir! Hangi hastalığa işaret ediyor! Erken teşhis çok önemli

Karında sıvı birikmesi, karın boşluğunda anormal miktarda sıvı toplanması durumudur. Bu durum, ciddi sağlık sorunlarının habercisi veya belirtisi olabilir. Karında sıvı birikmesinin nedenleri, belirtileri, tedavisi ve önlenmesi hakkında bilmeniz gerekenler...

Yayın Tarihi: 05.02.2024 18:42
Güncelleme Tarihi: 05.02.2024 18:42

Karında sıvı birikmesi, hayatınızı tehlikeye atabilir! Hangi hastalığa işaret ediyor! Erken teşhis çok önemli

Karında sıvı birikmesi, tıp dilinde asit olarak adlandırılır. Karın zarı ile karın organları arasındaki boşlukta normalden fazla sıvı oluşmasıdır. Karında sıvı birikmesi, genellikle karaciğer hastalıkları, kanser, kalp ve böbrek yetmezliği gibi ciddi rahatsızlıkların sonucu veya işareti olabilir. Karında sıvı birikmesi, hayatı tehdit eden komplikasyonlara yol açabilir. Bu nedenle, karında sıvı birikmesini erken tanımak ve tedavi etmek çok önemlidir. İşte, karında sıvı birikmesi hakkında bilinmesi gereken tüm detaylar haberimizde...

KARINDA SIVI BİRİKMESİ NEDEN OLUR?

Karında sıvı birikmesinin en yaygın nedeni karaciğer sirozudur. Karaciğer sirozu, karaciğer dokusunun hasar görmesi ve yara izi oluşması sonucu karaciğerin normal fonksiyonlarını kaybetmesidir. 

karında sıvı birikmesi

Karaciğer sirozu olan kişilerde, karaciğerden kalbe giden kan damarlarında basınç artar. Bu da karın zarından sıvı sızmasına ve karın boşluğunda birikmesine neden olur. Karında sıvı birikmesinin diğer nedenleri arasında, karın zarı kanseri, yumurtalık kanseri, pankreas kanseri, lenfoma, tüberküloz, kalp yetmezliği, böbrek yetmezliği, portal ven trombozu ve enfeksiyon sayılabilir.

KARINDA SIVI BİRİKMESİ HANGİ HASTALIĞIN HABERCİSİDİR?

Karında sıvı birikmesi, genellikle ciddi ve ilerlemiş hastalıkların habercisi ve belirtisidir. Karında sıvı birikmesi olan kişilerin yaklaşık %80’inde karaciğer sirozu vardır. Karında sıvı birikmesi olan kişilerin %10-15’inde ise karın zarı kanseri veya diğer kanser türleri bulunur. 

karında sıvı neden birikir

Karında sıvı birikmesi olan kişilerin %5’inde ise kalp yetmezliği, böbrek yetmezliği, portal ven trombozu, tüberküloz veya enfeksiyon gibi diğer hastalıklar mevcuttur. Karında sıvı birikmesi, bu hastalıkların ilerlemiş evrelerinde ortaya çıkar ve hayatı tehdit eder. Bu nedenle, karında sıvı birikmesi olan kişilerin mutlaka bir doktora başvurması ve altta yatan hastalığın tanı ve tedavisini yaptırması gerekir.

KARINDA SIVI BİRİKMESİ NASIL GEÇER?

Karında sıvı birikmesinin tedavisi, altta yatan hastalığın tedavisine bağlıdır. Karında sıvı birikmesine neden olan hastalığın tedavi edilmesi, karında sıvı birikmesinin de azalmasını veya geçmesini sağlayabilir. Karında sıvı birikmesinin tedavisinde kullanılan yöntemler arasında, ilaç tedavisi, diyet ve yaşam tarzı değişiklikleri, paracentez ve şant yerleştirme sayılabilir. İlaç tedavisi, karında sıvı birikmesine neden olan hastalığın belirtilerini ve komplikasyonlarını azaltmaya yöneliktir. 

karında sıvı

Diyet ve yaşam tarzı değişiklikleri, karında sıvı birikmesinin önlenmesine ve kontrol altına alınmasına yardımcı olur. Paracentez, karın boşluğundan iğne ile sıvı alınması işlemidir. Şant yerleştirme, karın boşluğundaki sıvının başka bir bölgeye aktarılması işlemidir. Bu yöntemler, karında sıvı birikmesinin tedavisinde etkili olabilir. Ancak, bu yöntemlerin de yan etkileri ve riskleri olabilir. Bu nedenle, karında sıvı birikmesinin tedavisinde doktorunuzun tavsiyelerine uymak çok önemlidir.

KARINDA SIVI BİRİKMESİ NASIL ANLAŞILIR?

Karında sıvı birikmesi, genellikle belirgin belirtiler vermez. Ancak, karında sıvı birikmesi ilerledikçe, bazı belirtiler ortaya çıkabilir. Karında sıvı birikmesinin belirtileri arasında, karın bölgesinde şişlik, ağrı, dolgunluk, nefes darlığı, iştahsızlık, kilo kaybı, bulantı, kusma, karaciğer büyümesi, sarılık, bacaklarda ödem, göbek çevresinde damar genişlemesi ve göbek deliğinden sıvı akması sayılabilir. 

karında sıvı birikmesi tedavisi

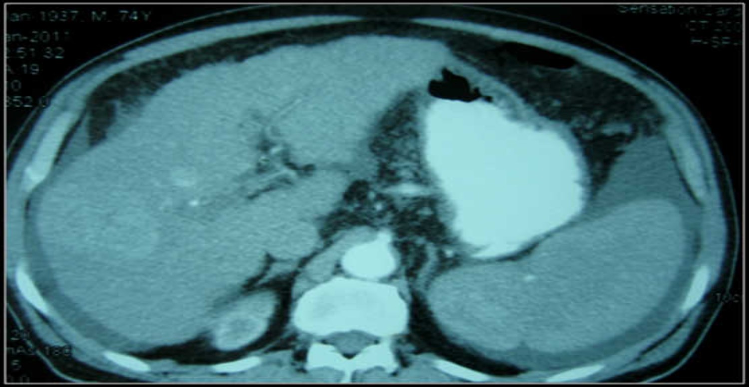
Karında sıvı birikmesinin tanısı, fizik muayene, kan testleri, karın ultrasonu, karın tomografisi, karın manyetik rezonans görüntüleme ve karın zarından sıvı örneği alınması gibi yöntemlerle konulabilir. Karında sıvı birikmesinin tanısı, altta yatan hastalığın tanısını da kolaylaştırabilir.

KARINDA SIVI BİRİKMESİ GEÇER Mİ?

Karında sıvı birikmesi, altta yatan hastalığın tedavisine bağlı olarak geçebilir. Karında sıvı birikmesine neden olan hastalık tedavi edilirse, karında sıvı birikmesi de azalabilir veya tamamen geçebilir. Ancak, karında sıvı birikmesine neden olan hastalık tedavi edilemezse, karında sıvı birikmesi de devam eder veya artar.

karındaki sıvı nasıl alınır

Karında sıvı birikmesi, hayatı tehdit eden komplikasyonlara neden olabilir. Bu komplikasyonlar arasında, karın zarı iltihabı, karaciğer yetmezliği, böbrek yetmezliği, beyin ödemi, kanama, enfeksiyon ve şok sayılabilir. Bu nedenle, karında sıvı birikmesi olan kişilerin, zaman kaybetmeden bir doktora başvurması ve tedavi olması gerekir.

Yazar
EDİTÖR

cananokur_