DOLAR
42,8 -0,19%
EURO
50,2 -0,01%
ALTIN
5.977,76 -0,33%
BITCOIN
3.765.046,37 -3,71%

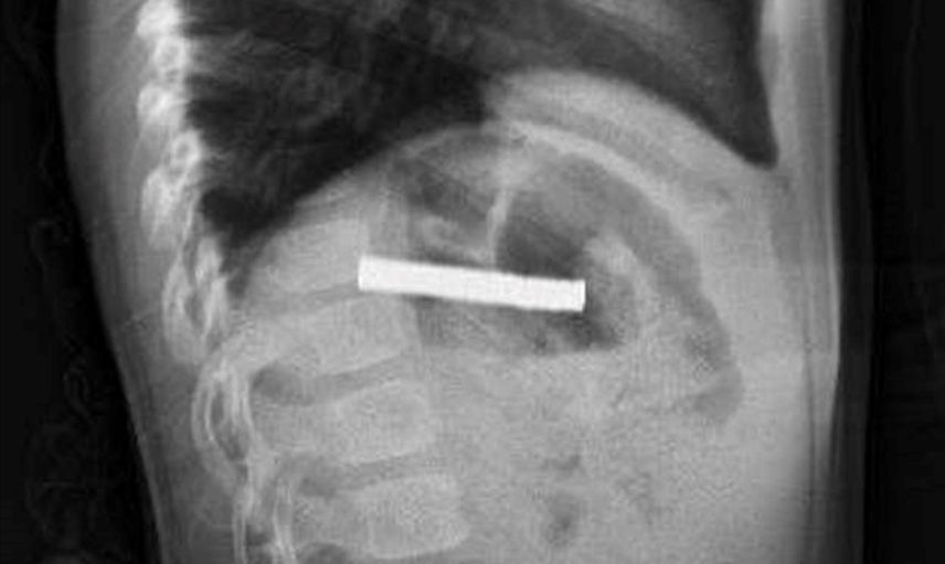
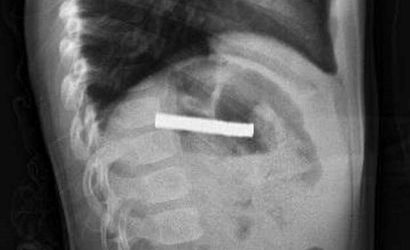
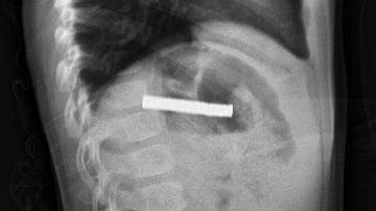
Elazığ'da 3 yaşındaki çocuğun yemek borusundan 19 mıknatıs çıkarıldı

Erzurum'da 3 yaşındaki çocuğun yuttuğu 19 mıknatıs, Fırat Üniversitesi Hastanesi'nde yapılan müdahaleyle çıkarıldı; çocuk gözlem sonrası taburcu edildi.

Yayın Tarihi: 05.10.2025 16:50
Güncelleme Tarihi: 05.10.2025 16:53

Elazığ'da 3 yaşındaki çocuğun yemek borusundan 19 mıknatıs çıkarıldı

Elazığ'da 3 yaşındaki çocuğun yemek borusundan 19 mıknatıs çıkarıldı

Olayın seyri

Erzurum'da evde oyun oynarken bulduğu 19 mıknatısı yutan 3 yaşındaki çocuk, rahatsızlanması üzerine ambulansla Erzurum Şehir Hastanesi'ne kaldırıldı. Yapılan tetkiklerin ardından hasta, acil durum nedeniyle ambulans helikopter ile Fırat Üniversitesi (FÜ) Hastanesi'ne sevk edildi.

Operasyon ve sonuç

FÜ Çocuk Gastroenteroloji Hepatoloji ve Beslenme Bilim Dalı Başkanı Prof. Dr. Yaşar Doğan ve ekibinin tetkiklerinde mıknatısların birbirine yapışarak çocuğun yemek borusunu tıkadığı tespit edildi. Müdahale sırasında mıknatıslar yemek borusundan mideye alınarak, mideden özel bir file ile çıkarıldı. İşlem başarılı geçti.

İşlem sonrası çocuk bir süre gözetim altında tutuldu. Ailenin kendi isteğiyle sabah taburcu edilmesi ve hastanın genel durumunun iyi olması üzerine çocuk taburcu edildi.

Uzman uyarısı

Prof. Dr. Yaşar Doğan, mıknatısların yemek borusunda uzun süre kalmasının hasar bırakabildiğini belirterek, aileleri küçük çocukların erişebileceği noktalarda küçük cisimleri bulundurmamaları konusunda uyardı.

Elazığ'da 3 yaşındaki çocuğun yuttuğu ve yemek borusunu tıkayan 19 mıknatıs, Fırat Üniversitesi...

Elazığ'da 3 yaşındaki çocuğun yuttuğu ve yemek borusunu tıkayan 19 mıknatıs, Fırat Üniversitesi Hastanesi'nde yapılan başarılı bir operasyonla çıkarıldı.

Elazığ'da 3 yaşındaki çocuğun yuttuğu ve yemek borusunu tıkayan 19 mıknatıs, Fırat Üniversitesi...

Yazar
EDİTÖR

Aksiyon Haber Ajansı