Kocaeli'de Kurban Bayramı'nda Kesilen Parmağı Ampute Edildi; Hasta Savcılığa Suç Duyurusunda Bulundu

Kocaeli'de 7 Haziran 2025'te bıçak kesiği yaşayan Nurettin Güleryüz, iki özel hastanedeki tedavi süreci sonrası parmağını kaybettiğini iddia ederek tıbbi ihmal nedeniyle şikayetçi oldu.

Yayın Tarihi: 16.04.2026 09:08
Güncelleme Tarihi: 16.04.2026 09:38

Kocaeli'de Kurban Bayramı'nda Kesilen Parmağı Ampute Edildi; Hasta Savcılığa Suç Duyurusunda Bulundu

Olayın seyri

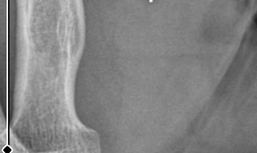
İddiaya göre, 7 Haziran 2025 Kurban Bayramı'nda bıçak temizlerken sağ el başparmağını kesen Nurettin Güleryüz (34), ilk başvurusunu bir özel hastanenin acil servisine yaptı. Hastane tarafından pansuman yapılarak ve reçete verilerek taburcu edildiği, kanamanın devamı üzerine ertesi gün aynı hastanede dikiş atıldığı bildirildi.

Parmağı hareket ettiremediği için 19 Haziran'da Gebze'deki başka bir özel hastaneye başvuran Güleryüz'ün, takip tetkiklerinde sinir hasarı ve tendon kopması şüphesi ile karşılaşıldığı, EMG ve MR sonuçlarında bu bulguların tespit edildiği belirtildi. Hastanın üzerindeki cerrahi müdahalelerin ardından parmağın çürüdüğü ve kurtarılamayacağının bildirilmesi üzerine başka bir merkezde ampute edildiği aktarıldı.

Hastanın şikayetleri ve tedavi süreci

Güleryüz, ilk müdahalede röntgen veya görüntüleme yapılmadığını, pansumanın ardından 'parmağın yapıştırıldığı' ve ilaç verilip gönderildiğini iddia etti. Tekrarlayan başvurularında dikiş atıldığı dönemde de film veya röntgen çekilmediğini söyledi. Bayram tatili nedeniyle erişim zorlukları yaşandığını ifade etti.

Takip eden dönemde başka bir hastanede acil ameliyat gerekliliği nedeniyle operasyona alındığını ancak burada da başlangıçta yeterli tetkik yapılmadan girişimde bulunulduğunu belirten Güleryüz, sürecin sonunda parmağın kurtarılamayarak ampute edildiğini anlattı.

Ameliyatlar sonrası komplikasyon iddiaları

Ameliyatların ardından kolunda ağrılar hissettiğini söyleyen Güleryüz, kolunda metal parça bulunduğunu ve bu parçanın parmak bölgesinden dirseğe doğru ilerlediği iddiasını dile getirdi. Ayrıca çalıştığı fabrikada temizlik personeli olan Güleryüz'ün tedavi sürecinde işten çıkarıldığı öğrenildi.

Hukuki süreç ve talepler

Güleryüz'ün avukatı Barış Kurt, Gebze Cumhuriyet Başsavcılığı'na sundukları şikayet dilekçesinde, tedaviyi yürüten hekimlerin tıp kurallarına aykırı davrandığını ve ihmali davranışta bulunduklarını ileri sürdü. Kurt, başparmak kesilerinde tendon ve sinir hasarının basit muayene ile bile anlaşılabileceğini belirterek, doğru teşhis ve zamanında cerrahi müdahalenin gecikmesi halinde kalıcı sakatlık riskinin ortaya çıktığını savundu.

Avukatın iddiasına göre, müvekkilin yaralanma öncesinde yüzde 46 olan engellilik oranı yaşanan süreç sonrası yüzde 75'e yükseldi. Dilekçede, sorumlular hakkında taksirle yaralama, görevi kötüye kullanma ve ihmali davranışla yaralama suçlarından soruşturma yürütülmesi talep edildiği kaydedildi.

Müvekkilin durumu ve beklentileri

Güleryüz, 9 aydır çalışamadığını, erken emeklilik başvurusu yaptığını ancak sonucun henüz çıkmadığını söyledi. Kolundaki metalin çıkarılması için planlanan bir operasyonun olduğunu, bunun netliğinin henüz belli olmadığını ve süreçle ilgili soruşturma izninin halen beklenmekte olduğunu belirtti. İlgililerden konunun incelenmesini ve mağduriyetinin giderilmesini talep etti.

Değerlendirme

Olayla ilgili iddialar savcılık tarafından değerlendiriliyor. Tarafların sunduğu iddialar ve tıbbi belgeler doğrultusunda yürütülecek soruşturmada, tedavi sürecinin usul ve tıp kurallarına uygunluğu, zamanında tanı ve müdahalenin yapılıp yapılmadığı gibi hususlar mercek altına alınacak.

Not: Haberde yer alan tüm iddialar, hasta ve avukatının beyanlarına dayanmaktadır. Resmi soruşturma ve adli süreç sonucunda ortaya çıkacak bulgular haberin seyrini etkileyebilecektir.

KOCAELİ'DE KURBAN BAYRAMI'NDA YAŞADIĞI BIÇAK KESİĞİNİN ARDINDAN BAŞVURDUĞU HASTANELERDEKİ YANLIŞ...

KOCAELİ'DE KURBAN BAYRAMI'NDA YAŞADIĞI BIÇAK KESİĞİNİN ARDINDAN BAŞVURDUĞU HASTANELERDEKİ YANLIŞ TEDAVİ İDDİALARI SEBEBİYLE PARMAĞI AMPUTE EDİLEN VE ÇALIŞMA YETİSİNİ KAYBEDEREK İŞİNDEN OLAN NURETTİN GÜLERYÜZ, "TIBBİ İHMAL" İDDİASIYLA İKİ ÖZEL HASTANE HAKKINDA SUÇ DUYURUSUNDA BULUNDU.

KOCAELİ'DE KURBAN BAYRAMI'NDA YAŞADIĞI BIÇAK KESİĞİNİN ARDINDAN BAŞVURDUĞU HASTANELERDEKİ YANLIŞ...

Yazar
EDİTÖR

Meryem Özdemir

Ben Meryem Özdemir, 24 yaşındayım, Bursa'dan çalışıyorum. aksiyon.com.tr Gündem'deyim ama spesifik olarak eğitim ve sağlık politikalarındaki güncel gelişmelere odaklanıyorum. Öğrenmeye açık, meraklı ve enerjik bir yapım var.