DOLAR
42,58 -0,02%
EURO
49,63 -0,07%
ALTIN
5.757,67 -0,32%
BITCOIN
3.841.163,52 0,53%

Kayseri'de İran'dan Gelen Şüphelilerin Midesinde 50 Kapsül, 554 Gram Uyuşturucu Ele Geçirildi

Kayseri'de İran'dan gelen üç şüphelinin midesinde 50 kapsül, toplam 554 gram uyuşturucu bulundu; üçü gözaltına alındı, 'Uyuşturucu Madde Ticareti Yapmak' suçlamasıyla işlem başlatıldı.

Yayın Tarihi: 09.12.2025 11:00
Güncelleme Tarihi: 09.12.2025 11:00

Kayseri'de İran'dan Gelen Şüphelilerin Midesinde 50 Kapsül, 554 Gram Uyuşturucu Ele Geçirildi

Kayseri'de İran'dan Gelen Şüphelilerin Midesinde 50 Kapsül, 554 Gram Uyuşturucu Ele Geçirildi

Kayseri İl Emniyet Müdürlüğü Narkotik Suçlarla Mücadele Şube Müdürlüğü tarafından yürütülen çalışmada, İran'dan Türkiye'ye uyuşturucu madde getirdiği tespit edilen şüphelilere yönelik operasyon düzenlendi.

Operasyon ve yakalama

Operasyon kapsamında yakalanan şahıslar S.C., R.B.C. ve G.M. olarak belirtildi. Çalışmanın, uluslararası uyuşturucu madde ticareti yaptığı değerlendirilen kurye şahıslara yönelik yürütüldüğü aktarıldı.

Sağlık muayenesi ve ele geçen maddeler

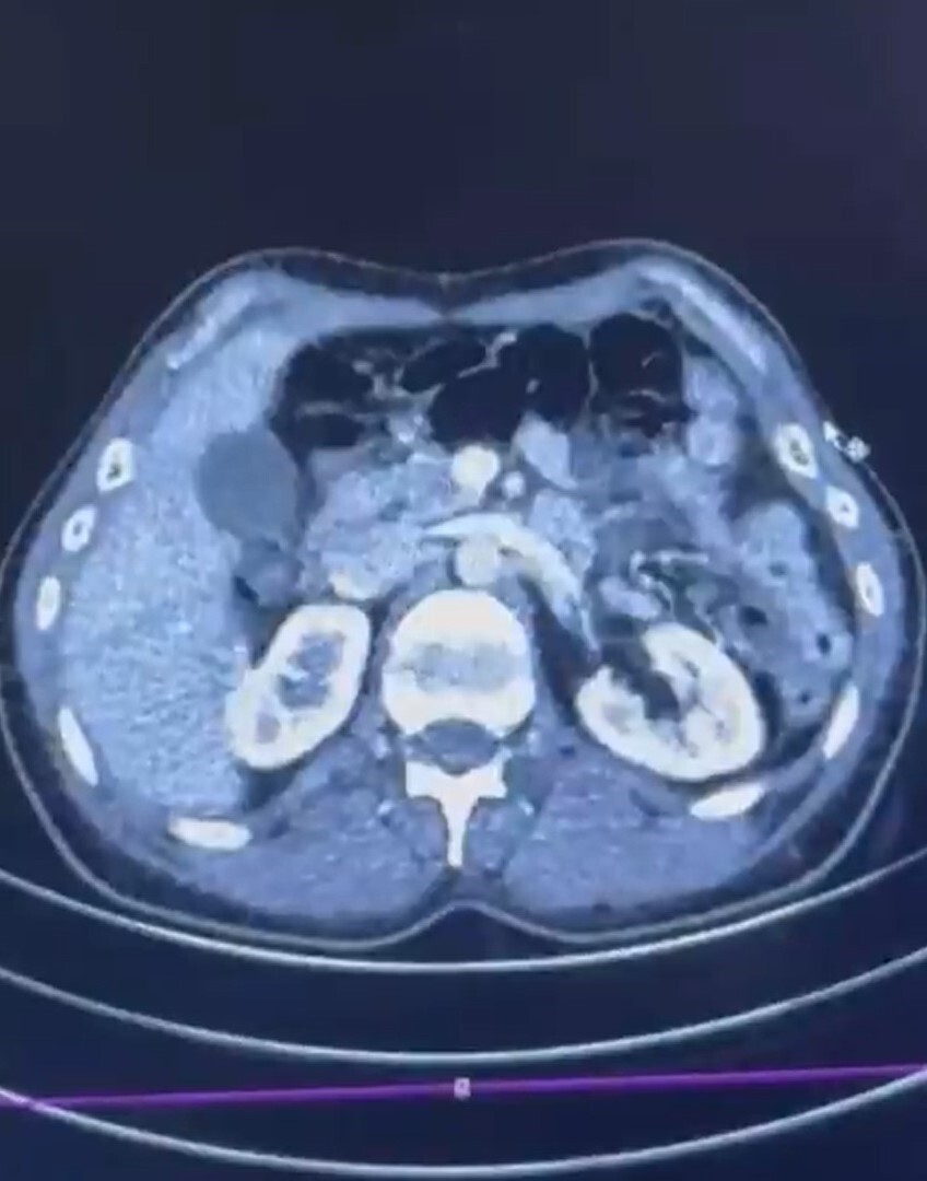
Kayseri Şehir Hastanesi'nde yapılan iç beden muayenelerinde, şüphelilerin mide kısmında 50 adet kapsül halinde toplam 554 gram uyuşturucu madde bulunduğu tespit edildi.

Adli süreç ve emniyet açıklaması

Şüpheliler gözaltına alınarak haklarında 'Uyuşturucu Madde Ticareti Yapmak' suçundan işlem başlatıldı. Kayseri İl Emniyet Müdürlüğü yapılan açıklamada, "Uyuşturucu ve uyarıcı madde satıcılarına karşı yürüttüğümüz mücadele aralıksız ve kararlı bir şekilde devam edecektir" ifadelerine yer verdi.

ŞÜPHELİLERİN MİDESİNDE KAPSÜL ŞEKLİNDE YARIM KİLO UYUŞTURUCU MADDE ELE GEÇİRİLDİ.

ŞÜPHELİLERİN MİDESİNDE KAPSÜL ŞEKLİNDE YARIM KİLO UYUŞTURUCU MADDE ELE GEÇİRİLDİ.

Yazar
EDİTÖR

Fatma Öztürk

Merhaba, ben Fatma Öztürk. 26 yaşındayım, İzmir. aksiyon.com.tr Gündem için yerel yönetimler ve şehir haberlerini takip ediyorum. Benim önceliğim insan hikayeleri ve toplumsal sorunlar. Vatandaşın sesini duyurmayı seviyorum, empati yeteneğimin yüksek olduğunu söylerler.